
Smell is a highly individualized sense: The same odor or olfactory stimulus can trigger common, though not identical, reactions from person to person. A recent study published in the science journal Nature suggests that our diverse experiences with scent have to do with how they are encoded in the brain. “All of us share a common frame of reference with smells,” Sandeep Robert Datta, an associate professor of neurobiology at Harvard Medical School and a senior author of the paper, told The Harvard Gazette. “You and I both think lemon and lime smell similar and agree that they smell different from pizza, but until now, we didn’t know how the brain organizes that kind of information.”
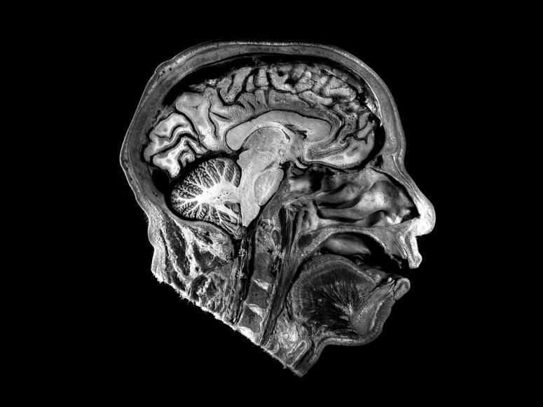
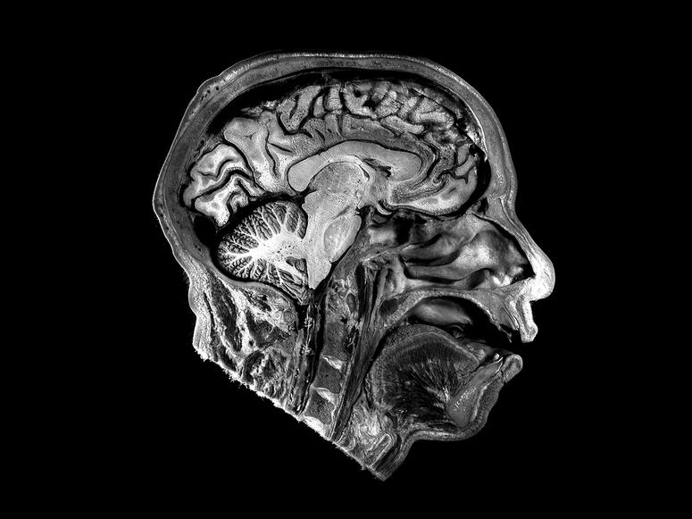
A large part of that opacity stems from the difficult task of creating quantitative sample sets for odor molecules, which is much more complex than, for example, controlling variables of light to study visual perception. That’s slowly changing with new technologies. For the study, neurobiologists at Harvard used machine learning to analyze thousands of chemical structures known to have odors, detailing features such as molecular weight, electrochemical properties, and number of atoms for each one. With this data, they have begun to compare the chemical makeup of different odors to one another—as well as how a given odor correlates to neural activity in the piriform cortex and olfactory bulb, which are responsible for encoding smells. “This is the first demonstration of how the olfactory cortex encodes information about the very thing that it’s responsible for,” Datta said, “which is odor chemistry, the fundamental sensory cues of olfaction.”
Keep reading
Walking into the cavernous first-floor gallery of the Institute of Contemporary Art (ICA) in Philadelphia—where “RE_________,” an exhibition by the Norwegian-born, Berlin-based artist Sissel Tolaas is currently on view (through Dec. 30)—feels l
Growing up in the Midwest, I wasn’t exposed to the widest range of foods. True to the Scandinavian heritage and harsh widoro wat. But out of all these first experiences of more far-flung tastes and flavors, none stands out in my memory as sharply a
It’s late August, and I’m walking on Grand Street in Lower Manhattan. It’s one of those summer evenings that’s cooler thAlex Tatarsky, and as I head east from the subway, I pass through the dense, networked scents of the edge of Chinatown: the briny tanthe famous bialy shop. Approaching Abrons Art Center, where Tatarsky is doing pick-up rehearsals for an out-of-town run of their show Dirt Trip, this close-packed olfactory landscape opens up into something with more space: a faint vegetal whiff from a small vaca
A blooming magnolia tree, decked out in its distinctive, cup-shaped flowers, is one of the most welcome and fragrant sig
In 2020, the Noguchi Museum opened “The Sculptor and the Ashtray”—an intimate, one-room exhibition chronicling the artist’s pursuit to create the perfect ashtray. The negative space empA Space, to make a collection of hand-carved bowls, produced from special material—Lebanese cedar—that has a signature balsamic
Scott Serrano and Allyson Levy know all too well that the distinction between a simply beautiful garden and an “importan
You’re on TikTok, looking for something, but you don’t know what. You wander down what seems to be a promising path, tur
For botanical artist and illustrator Lara Call Gastinger, the treasures of fields and forests reveal themselves in a profusion of shapes, colors, and textures. Gastinger's meti
Science estimates that we experience around 80 percent of flavor based on our sense of smell, rather than taste. How then to think about
Danielle Whittaker was never particularly fond of birds. She started her studies as an evolutionary biologist by focusinThe Secret Perfume of Birds: Uncovering the Science of Avian Scent (Johns Hopkins University Press). We recently spoke with her about her research on bird behavior and how their sense of smell and their own unique scent m
For many, perfume provides a layer of color, texture, or inflection on top of our daily lives. The addition of scent canThe Institute for Art and Olfaction (IAO), a decade-old Los Angeles–based nonprofit founded by Saskia Wilson-Brown, has become a magnet for people who thin
The search for a quality podcast can seem like looking for a diamond in the rough. But in the ever-growing expanse of trFocus on Flowers, a weekly gardening podcast and public radio program hosted by veteran gardener Moya Andrews, is one of them.
In Nepal, where I lived in the early aughts, cultural treasures abound, including seven groups of historic Buddhist and UNESCO World Heritage Site. It was within these intricately carved buildings that I first smelled the ambrosial aromas emitted by the traditional dhup (sometimes spelled “dhoop”). Found in nearly every home in the South Asian country, dhup is most closely associated with the Newar people, historical inhabitants of the Kathmandu Valley who are renowned acros
Houseplants bring their surroundings to life. From helping to define a space to boosting serotonin levels and dissolvingproven to facilitate a healthier home. Some of the most resilient plants—specifically, certain succulents and cacti—have the added value of scenting their se
Across many industries, people are preparing for a seismic shift as the metaverse coalesces with everyday life. While tha range of emotions, these unified and all-encompassing worlds, experienced through various augmented and virtual realities, present ample
Think about the scent of your favorite fragrance. Chances are, it’s a variation on a long-established olfactory concoctiinula, a common weed in his native Corsica, the mountainous Mediterranean island. “In French, weeds are called mauvaises herbes, or bad herbs,” he said in a statement. “I think it’s unfair, because they are bountiful and have many healthful properMal-Aimé, a scent he created for his fragrance house Parfum d’Empire. In Corticchiato’s deft hands, the plant, which sprouts clumps of small, hairy yellow flowerheads–produces a startling
Born into a Franco-Sicilian restaurateur family, Gabriel Di Bella traces his passion for food and wine to helping his chef father, Giuseppe, run their family operation in the French cit Daniel Humm’s opening team at Davies and Brook, at Claridge’s London, as the wine director, a position he held until Humm and the hwrote of the decision on Instagram, “and this is the path we must take”). Since landing in New York City and starting this spring as the winEleven Madison Park flagship (which transitioned last year to an all-vegan menu), Di Bella has been overseeing its 200-plus-page, 5,000-selWhat role does scent play in the wine experience? A major one. We think of the mouth and taste buds as the primary aspect of drinking wine or eating food, but I believe tequally important. Once you look at whatever you’re going to eat or drink, the next sense you’re going to use is your nose. As How does scent interact with the other senses in our appreciation of wine? Tasting wine is one of the few activities in which we use all five senses. You’ll even use touch when feeling the liquidWith wine, does a linear relationship exist between smell and taste? Wine experts and even nonprofessional wine lovers will test a lot of wines in different years, or the same specific prodIs our memory with wine triggered by smell or taste, or a combination of the two? It’s the smell for me, one hundred percent. I put my nose to the glass, inhale the first breath, and feel completely traCan we learn to appreciate certain wines more through their scent? There are definitely a few producers or grape varieties where this is true. I’m a huge lover of syrah wines from the NorJean-Michel Stéphan, the wine always surprises me. From the first smell, the wine seems a little shy. A little closed, even. The more time Romanée-Conti Grand Cru, one of those iconic “unicorns” of the wine world. I was an extreme novice back then, yet just smelling the wWhat about the impacts of the climate crisis? Can we smell them in the glass? Yes, some wine growing regions are reviewing their grape varieties in response to warming climates and less water. Obvioespecially in California, climate change presents a really big challenge. Not knowing if you’ll even have a harvest and how that will impact theRacines Wines, an experimental collaboration between Justin Willett, from California’s Tyler Winery, and vignerons Étienne de MontillHow does Eleven Madison Park’s transition to an all-vegan menu affect your work? This does not make my job more complicated. In fact, I think it makes my work more interesting. The old way was about paMarkus Altenburger and Claus Preisinger. They each make such delicious wines that are worth showing off and sharing. Both are very versati
Two years ago, outside Christ the King Catholic Church, in northwest Detroit, a flurry of congregants’ hands were at worSacred Grounds, a program run by the National Wildlife Federation (NWF) that helps houses of worship transform a portion of their propessential for the survival of all terrestrial ecosystems. Native plants also provide vital food, shelter, and places to rear offspring for songbirds, and, thanks to their localions, need to band together to protect creation for the glory of the Creator,” says Rabbi Fred Scherlinder Dobb of the Adat because we are people of faith.” When it comes to the planting itself, NWF helps congregations strategize to account for theirkeystone plants—organisms specific to local food webs within ecoregions—known to attract caterpillars, take priority. (Caterpillars, inlong been entangled with controversy and political beliefs—a straddle of sorts across party lines. By working hand in hand with houses of w
Mosquitos don’t mind how badly we stink in the summer. In fact, the more we sweat, the easier it is for them to find us: The naturally occurring lactic and uric acids on our skin serve as lighthouses for the hungry little ladies (only femascientifically proven not only to make you smell delightful, but also to repel the pesky biters.
How might society benefit from understanding the ways in which the brain processes smell? John Crimaldi, a professor in Ecological Fluid Dynamics Lab, has more than a few answers. Getting clarity around brain function, he says, could lead to breakthroughs in a wide ran
San Francisco–based perfumer Yosh Han is sense-driven. In addition to her own perfume line, Yosh, she is a sommelier, has served as a tasting judge in chocol
Walking through a museum, you’ll likely consume most artworks using your eyes. Enjoying the output of olfactory artist Maki Ueda, who uses scent as her primary medium, however, requires your nose—and sometimes takes place in spaces with no visual
Walk into any bowling alley, and you’ll quickly find yourself caught in an olfactory battleground. Whiffs of floor polisStorm Products.
Scents are among the most powerful, and the most personal, sensory triggers. Because the olfactory nerve connects directPerfume: In Search of Your Signature Scent, deeply understands the connections between smells and feelings. A driven, self-taught student of fragrance and its hisThe Black Narcissus—a captivating combination of technical and historical analysis of scents, pop cultural musings, and personal memoir—he illuminates the myriad facets of scent and its powers, revealing his encyclopedic knowledge of
The smell of marijuana has long been demonized as “skunky”—linking the typically negative connotations of being high wit
In a world in which fitful sleep is all too common—more than a third of American adults don’t get enough rest—any serenity-inducing bedtime ritual is worth giving a go. But if listening to white-noise machines and banishing your science proves that the ingredients typically used in the sprays produce measurable effects that help facilitate relaxation: Lavender
Tucked between a seafood market and a dumpling shop in Manhattan’s Chinatown, a small storefront showcases a suite of exGlade: To Touch Painting” (through April 30), an exhibition of scented paintings by Brazilian artist Luiza Gottschalk, currently on view at the Olfactory Art Keller.
The Italian writer and thinker Umberto Eco, when explaining how he came up with the title of his beloved novel The Name of the Rose, wrote that he chose it “because the rose is a symbolic figure so rich in meanings that by now it has hardly any meanin
It’s been two years, three months, five days and a few hours since I last set foot in a five-star Paris hotel room (but Papier d’Arménie. After tearing off a thumb-length strip, I fold it up like an accordion, place it on a ceramic dish along the paper’s t
The metaverse is expanding by the minute, and speculation abounds as to what each of us might want to do there. Attend vbe like to do these things. What exactly will virtual experiences sound like, or feel like, or taste like? Dare we ask … w
In 1994, when I was a child, Mattel released Tropical Splash Ken, a blond-haired and blue-eyed hunk in board shorts and
The human nose allows us to detect all manner of scents. But when the organ is impacted by viral infections, nasal polThe Smell Podcast, a project created by Katie Boateng—who lost her sense of smell after a viral infection in 2008—to provide resources an
Olfaction is our swiftest sense. Unlike new information detected by the eyes and ears, which is absorbed by the thalamus
Ginger is beloved by many for its peppery scent, clean taste, and wide-ranging health benefits. Lesser known is its couszingiber zerumbet), a tropical plant with reddish, pine cone–like forms that contain a fragrant gel that’s more likely to show up in a sh
Many of us segment our days into hour-or-so-long stretches—an errand here, a catch-up there—but even with our time premeSpace of Time in 2019.
With all the time that so many of us have been spending at home over the past two years, it’s no wonder that our interio
Kimchi’s layered aroma first entered Lauryn Chun’s nostrils during her childhood in Korea, where her family regularly atWine & Spirits Magazine and immersing herself in European wines, Chun began to connect the complex scents of wine to those of kimchi, both a re
I first heard the conspiracy that using Carmex lip balm actually made your lips more chapped in high school, the best time to set the foundation for my suspicions about the world. One would apply it, only
Royalty rarely inspires ambivalence. Therefore, durian—a large, greenish-brown food that’s commonly referred to as the “
In the Mount Nyuto forest in Japan’s Akita prefecture, a certain smell pervades the air. It’s an enigmatic concoction ofonsen, and that can induce an almost instant mental calm. The natural phenomena, found in locales with geothermal energy bene
Aromatherapy—the practice of using fragrant extracts from trees, flowers, and other plants for therapeutic benefit—has bcertain smells can quiet the mind, and allow us to feel more grounded and at ease. The Wooden Wick Co., a purveyor of natural-scented items for the home, bath, and body, adds another dimension to the self-care tradition by
While many businesses, in the midst of the climate crisis, scramble to reduce their greenhouse gas emissions, the New Yospoke with us about in 2019). Recently, the company ventured into the fragrance realm with Air Eau de Parfum, a unisex, limited-edition concotion pulled quite literally out of thin air.
Perhaps each of us has a Proustian trigger: a sensation that suddenly uncovers a memory buried in time, and by meeting o
In 2017, Carolina Prioglio and Adrien de Bontin took over management of a farm in Burgundy that’s nestled in the rollingMaison/Made, which they launched in 2019. It’s one of the first beauty brands to achieve Biodynamic certification, an accolade awar
Around the 1500s, tanners settled in Grasse, a sun-soaked hillside town above the French Riviera, to produce leather. Th
A solitary island nation marooned between the Atlantic and Arctic Oceans, Iceland is known for its extraordinary naturalÚtilykt, released earlier this fall.
After working for luxury fashion houses including Givenchy and Louis Vuitton, Baptiste Bouygues joined forces with his mOrmaie. Now, three years later, the brand is a veritable leader in environmentally conscious scents, which, unlike many other
Tumi, the travel brand founded in 1975, has long been known for its functional luggage that manages to be stylish. Its f
In 2015, former cheesemonger and self-proclaimed cheese evangelist Erika Kubick founded Cheese Sex Death, a blog and online resource for all things related to the fermented dairy product that has been revered for thousands oPlate magazine. What started as a Google search turned into a deep dive into the domain of pressed curds and milk, and Kubick
In his 2005 essay “There Are No Visual Media,” visual culture scholar W.J.T. Mitchell argues that multiple senses are always involved in an optical experience. A gr
This London Studio Draws on Smell-O-Vision as a Tool for Promoting Social and Environmental Advocacy
In Aldous Huxley’s Brave New World, movie-watching is taken to the next level: Viewers sit in seats outfitted with special knobs that, when grasped, transThe Feelies, founded in 2015, which produces and presents stories in immersive, multisensory environments.
From scented candles to aerosol sprays, the home fragrance market is filled with sweet-smelling devices that have found
The olfactory experience of truffles can stick with you. One intoxicating whiff might ignite an insatiable fascination wTruffle Hound: On the Trail of the World’s Most Seductive Scent, with Dreamers, Schemers, and Some Extraordinary Dogs (Bloomsbury), out next week, he investigates why these strong-smelling nuggets appeal to the many noses they might encou
The origins of aromatherapy can be traced back more than 3,500 years, when essential oils were first recorded in human h
As the overpopulated, multibillion-dollar fragrance industry introduces hundreds of scents every year, choosing one that4160 Tuesdays, and Samantha Scriven, who runs a blog called iscentyouaday, lend their encyclopedic knowledge of aromatic liquids to their upcoming book, The Perfume Companion: The Definitive Guide to Choosing Your Next Scent (Frances Lincoln), out next week on Kindle and in hardcover on November 9. Fluent in the science behind the olfactory sy
Michael Hingson was in his office at the data-protection agency Quantum on the 78th floor of the World Trade Center’s Tower One when hethud of the first airplane hitting the building, 15 floors above. Hingson, who has been blind since birth due to an eye diso
“Most of my memories are strongly shaped by smells,” says Mackenzie Reilly, who became captivated by the fragrance worldInternational Flavors & Fragrances, Reilly routinely thinks about aromas in terms of a specific field of creative expression—architecture—as she builds a
The pleasantly sweet, sharp scent of freshly cut grass can conjure up visions of baseball fields, backyards, or the colo
Though rooted in Buddhism’s reverence for nature, shinrin-yoku (“forest bathing”) traces its origins to 1982, when Japan’s Ministry of Agriculture, Forestry, and Fisheries coined and
Chances are, you’ve smelled perfumer Yann Vasnier’s work without even knowing it. The French fragrance virtuoso, who has
Tasked with transitioning electric vehicles from niche to the norm, automotive designers are confronted with a singular vroom of an engine accelerating—which details will drivers long for if left out in future models?
Anyone who’s ever inhaled the air in the Metropolitan Museum of Art’s Egyptian wing, which has the vaguest trace of millFolie à Plusieurs, the Berlin-born, New York–based olfactory agency he founded in 2016 that creates aromatic profiles in partnership withCo, a line of incense made by Kungyokudo, one of Japan’s oldest incense suppliers, each of which comes with a downloadableThe Virgin Suicides, The Lobster, and Blow-Up, presented through its Le Cinéma Olfactif series in theaters at the membership club SoHo House, where a custom scent dimuseum’s shop.)
Olfactive expert Dawn Goldworm believes that just as children begin to learn colors, they should also be educated on sceThe Smell of a Rainbow (Dial Books), a scented board book, out this summer, that teaches children how to talk about smell using color. Connecting all her res
The Nihon Shoki, one of the oldest written records of Japanese history, traces the origins of incense in the nation to a single log of Ha Ko, a brand that offers delicate, leaf-shaped incense made from Japanese washi paper.
The two-year-old experimental radio website Poolsuite deftly mixes AOL-era computer graphics with disco-driven beats, channeling the cool optimism of the 1980s. Now, just inVacation, a new line of sun-care products and a corresponding perfume.
Drawing on the West Coast’s fresh atmosphere and spirit, Louis Vuitton’s ongoing Cologne Perfumes collection conjures upoud, a heady essence derived from agarwood trees.)
How did people in the Middle Ages think about smells? It’s a question that Dr. Katelynn Robinson avidly explores in her Visual Odors, a website she created to trace how scents were depicted in medieval European art) and her book, The Sense of Smell in the Middle Ages: A Source of Certainty (Routledge), out next week in paperback. It’s the first comprehensive investigation of the period’s olfactory understan
When the French luxury goods conglomerate LVMH tapped creative director Jonathan Anderson to helm Loewe in 2013, it charBotanical Rainbow, released in March, that includes myriad botanically inspired perfumes, bottled in a kaleidoscope of colors.
If you’ve ever been overwhelmed by the aroma of freshly ground coffee upon walking into a café, or the particular bouqueDr. Michael Bull, one of the leading air quality and odor experts in the United Kingdom, has dedicated more than three decades of his ca What led you to choose a career in assessing odors and their relationship to architecture?
“Scent and architecture both take people on sensory journeys,” says architect Héctor Esrawe. “More and more, I believe iXinú (pronounced “she-new”), a perfumery he co-founded in 2016 with architect Ignacio Cadena and his wife, Verónica Peña. Thnose in Otomi, an indigenous Mexican language, and has since developed five unisex scents with Mexican perfumer Rodrigo Flor
Among the many olfactory ways to de-stress—sniffing a bundle of lavender, lighting a scented candle, taking a breath of Functional Fragrance with notes that soothe the mind, such as green cardamom, cilantro, and violet. Ninety-six percent of users the company
Years ago, while flipping through an old family photo album, photographer Maya Njie homed in on an invisible aspect of tsmells,” she says. She began experimenting with raw ingredients to make fragrances that capture a given image’s scene: The celfragrance line in 2016. These days, Njie mixes and bottles her gender-neutral scents by hand in her London studio. She’s also eager toevents page soon).
For Shizuko Yoshikuni and Manuel Kuschnig, the Japanese-Austrian couple behind the Berlin-based olfactory design studio Aoiro, scent is essential to the success of any environment, adding an important experiential quality that goes beyond sight felt, not simply smelled.
Driving requires keeping your eyes on the road, navigating a primarily visual adventure—but the right accessory can makeAiround car diffuser from Italy’s storied furniture maker Poltrona Frau and the Milan-based fragrance brand Acqua di Parma. Encased in Poltr
“Apparently some people can’t smell dead ants,” a stunned TikTok creator says in a post she made last November. “Dude, huh?” The video went viral, amassing hundreds of comments and replies that debated wheth
In the early 20th century, locals from Yame, a small city in Fukuoka Prefecture on Japan’s southern island of Kyushu, duhis own.
“Smell can transport you out of wherever you are,” says Cathleen Cardinali, who left her job in the luxury fashion indusThin Wild Mercury with her partner, musician Anthony Polcino, in 2017. Place-based storytelling lies at the heart of its four scents, whi
As the medical director of the Smell and Taste Disorders Center at Virginia Commonwealth University, Dr. Evan R. Reiter has been especially busy in the era of Covid-19. He’s currently tracking around 2,000 virus patients as they recuperate
Tumultuous times often lead to creative new measures. For Ben Gorham, founder of the luxury brand Byredo, the drama of 2Mixed Emotions, a new unisex fragrance made to evoke the bewilderment of a roller-coaster year. A spritz of it starts out with the str
If you’ve ever wondered about the mysterious process of perfume-making, you’ll delight in watching Nose: The Most Secret Job in the World, now streaming on Apple TV, following last year’s premiere at the Tribeca Film Festival. In the hour-long documentary, nez, or nose—perfume industry parlance for an expert perfumer-creator with a finely attuned sense of smell—and his sensoria
In the 15 years since the French high fashion house Hermès released its Terre d’Hermès men’s fragrance, the scent has coH24 perfume, marked by a lively yet delicate bouquet, based on Nichanian’s ready-to-wear collections. But how, exactly, doe
In a year so necessarily and intensely domestic, it’s especially easy to appreciate the beauty and singularity of somethki-oke, wooden buckets traditionally used in Japanese onsen that have found alternative uses throughout the world, such as stoLes Atelier Courbet.) A seventh-generation master woodworker and artist, the elder Nakagawa, Kiyotsugu, and his son, Shuji, have collaborat
After catching a virus on an airplane nine years ago, Chrissi Kelly lost her sense of smell. To cope, she began smell trAbScent, a British nonprofit she founded in 2018 that’s overseen by an advisory board of leading doctors and scholars.
If absence makes the heart grow fonder, what does it do to the nose? Tokyo-based floral artist Makoto Azuma, who has sent his outrageous bouquets down the Dries Van Noten runway, up into outer space, and under the sea, addresse
The mysteries surrounding our olfactory systems have been the focus of Philadelphia’s Monell Chemical Senses Center since it opened, in 1968, more than 20 years before the discovery of the odorant receptors that we use to perceive scencreating and administering smell tests as soon as olfactory impairment emerged as a primary symptom for the novel coronavirus. We recently asked Dr. Dalton ho
The name Bernard may conjure different connotations for different folks—say, Senator Sanders, your favorite breed of mouBernard is the name of his fragrance brand, which recently debuted with a collection of hand-poured candles. “This is a scent mMeli, the Greek word for honey, is warm and sweet, with base notes of orris root and leather; Eira takes inspiration from Sc
Sweaty running clothes. The litter box. That odd funk emanating from the back of the fridge. Unpleasant scents can transMoso Natural, a line of odor-eliminating linen bags filled with an unexpected ingredient: bamboo. The California-based brand is name
Catherine Haley Epstein, author of Nose Dive: A Book For The Curious Seeking Potential Through Their Noses, is an artist and curator who specializes in scent and the ways our brains register it. Last year, with olfactory histoOdorbet, an ever-growing online database of terms they collect from various sources to describe smells. It also includes invent Why should we describe smells in nuanced, specific ways?
From its over-reliance on packaging to its use of harmful chemicals, the beauty industry is long overdue for a rethink o
Made on the Japanese island of Hokkaido, fragrances by Di Ser appeal to more than the nose alone. Perfumer Yasuyuki Shinohara founded the company, in 1999, as two interconnected ent
The poster child for the gray-skyed Pacific Northwest, Portland is perhaps America’s most book-loving city. Reading is a
“I don’t consider myself a perfumer,” says Julian Bedel, a former musician who taught himself how to make wearable scentFueguia 1833 in 2010. “I don’t know anything about perfume. My work is more of an artistic creation, and how I create the formulas i
Dr. Kate McLean, who spearheads the graphic design program at Canterbury Christ Church University in the United Kingdom,“smellscapes”: colorful diagrams made of dots and wavy, concentric rings that detail where an odor occurs in a specific place, and ho
Covering everything from a detective story by Edgar Allan Poe to the role that scent plays in racism, the new book The Smell of Risk: Olfactory Aesthetics and Atmospheric Disparities (NYU Press) investigates how, over the past 200 years, writers, artists, and activists have used smell in their work to
In the last decade, the rise of modest, product-focused scent brands has debunked the notion that the fragrance industryFanny Bal, who based her creation on the aromatic sap from the lentisc tree that grows on the Greek island of Chios, and senior sDomitille Michalon-Bertier, who designed her fragrance around the Inhotim Museum, an outdoor art center located in a Brazilian forest. Perfumer Delphine Lebeau recently learned about the Japanese pastry mochi, and used a trio of musks to embody the treat’s soft, mellow profile. The resulting 11 fragrances were unveiled at a viavailable for purchase in the U.S. on the website Luckyscent—providing a nose around what makes these master craftspeople tick.
Headquartered in Grenoble, a city in southeastern France, the six-year-old start-up Aryballe has a singular, if not entirely un-straightforward, goal: to capture, analyze, and digitally document smells. This work
Scent has the power to transport us instantly to another time or place. Consequently, the evocatively perfumed objects fHomesick enable wistful souls to travel to a cherished holiday, family tradition, or any state in the continental U.S., as well New York City, pumpkin picking, and more abstract experiences, such as a ski trip or a book club), then translates their feedback into an authentic, recognizable fragrance. More than a momentary escape, the scents suRoad Trip candle by day, and Beach Cottage by night.
Anyone who’s ever owned a dog (or been owned by one) knows that scent is paramount to how canines experience the world. Cat Warren, a science journalism professor at North Carolina State University, this observation became something of an obsession. What the Dog Knows: Scent, Science, and the Amazing Ways Dogs Perceive the World, followed by an edition that translates her research for younger readers, newly out in paperback—that detail the remarkable, often life-saving power of a hound’s snout. “We humans are highly German Shepherd police dog, Trakr, who located the last 9/11 survivor in the rubble of the World Trade Center, or the pooches that find drowning victims more than 200 feet under the sea. “Dogs can help make the invisible visible,” Warren says. “We need to watch them closely, know they can help translate
Your nose knows best. So says Harold McGee, a leading expert on the science of food and cooking, and author of the new bNose Dive: A Field Guide To The World’s Smells. Developed over the course of a decade, the blockbuster attempts to unpack the science of scent by looking in great dep
According to Dr. Alan R. Hirsch, the neurologist and psychiatrist who founded Chicago’s Smell and Taste Treatment and Rehe told the medical journal Alternative & Complementary Therapies. “More than a hundred years ago Freud said that, in order for society to remain civilized, it was necessary to repress oIn a study conducted by Hirsch’s foundation, 40 percent of participants—who were each connected to a plethysmograph, a device that measures blood flow caused by se



































































































